Vol. 16, No. 12, Dec 2025

Published: 2025-11-27

Case Report

  • Radial Extracorporeal Shockwave Therapy for the Treatment of Chronic Refractory Coccygodynia

    Michele Venosa, Andrea Vespasiani, Emilio Romanini, Monica Nigri, Andrea Fidanza, Giandomenico Logroscino
    467-474
    DOI: https://doi.org/10.14740/jmc5161
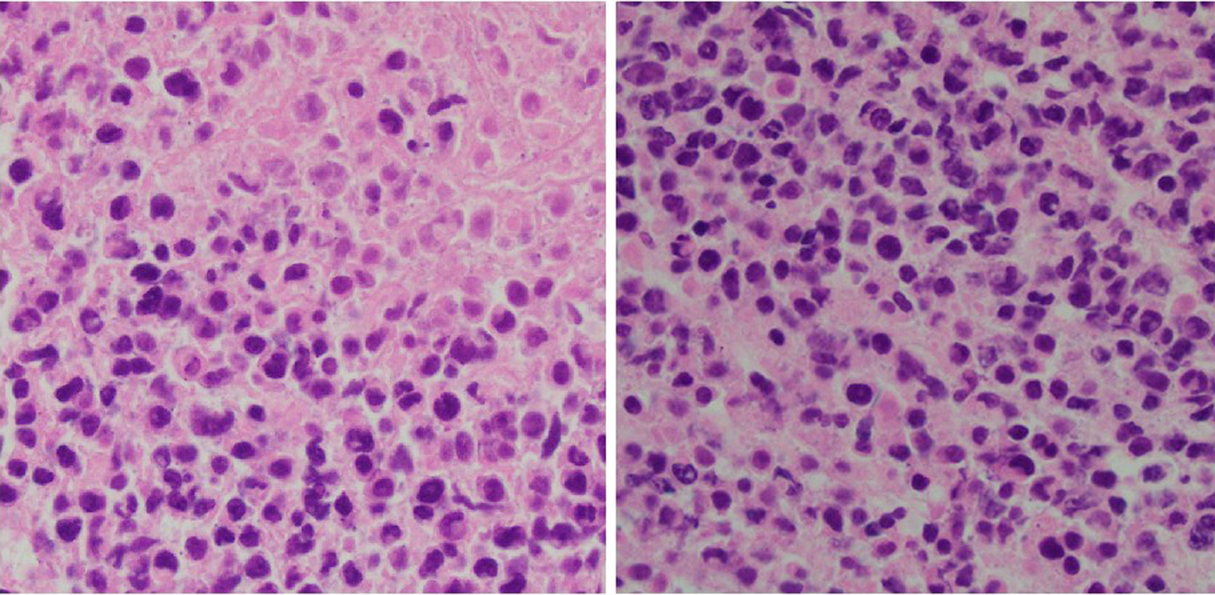
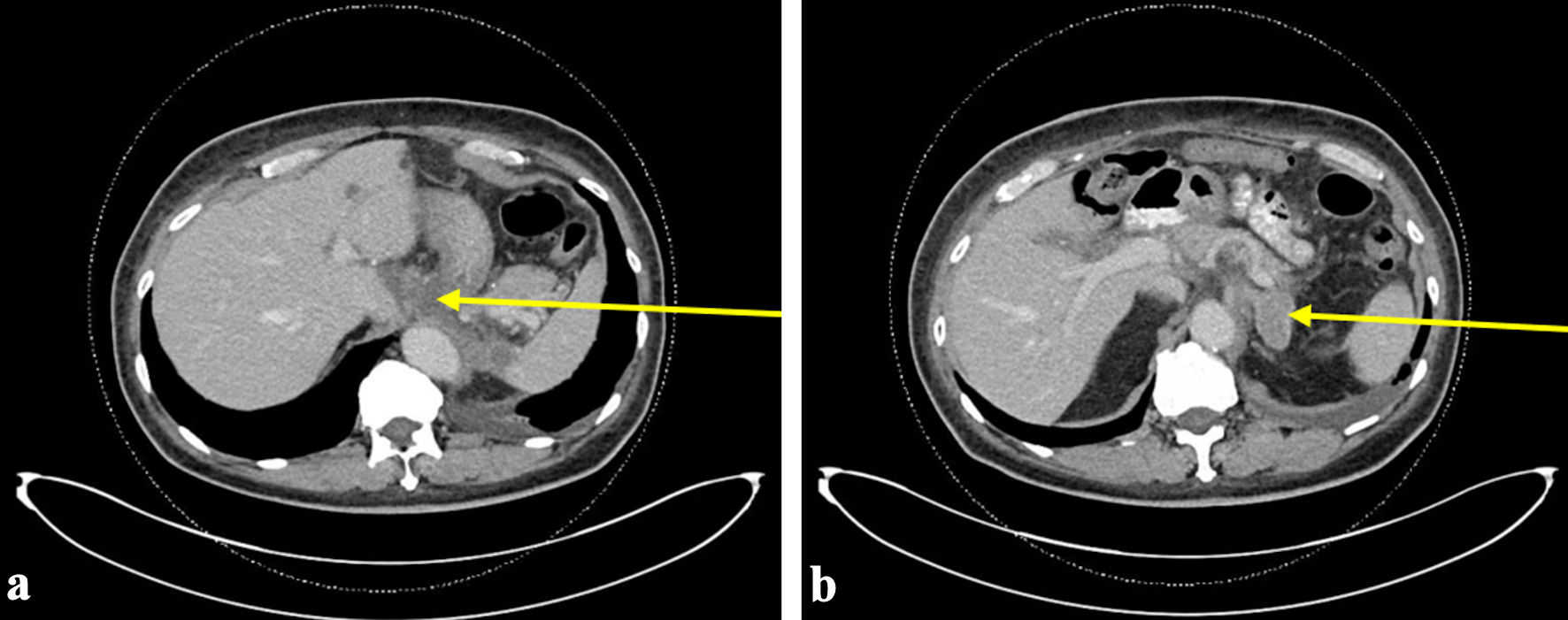
  • Cecal Involvement of Diffuse Large B-Cell Lymphoma: A Rare Extra-Nodal Presentation

    Usama Sakhawat, Ahmed Shehadah, Usman Mazhar, Miranda Gonzalez, Fahad Malik, James Van Gurp, Leslie Bank
    475-486
    DOI: https://doi.org/10.14740/jmc5192
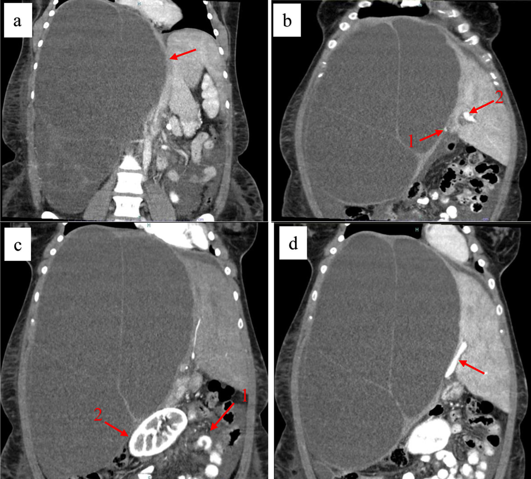
  • Anesthetic Challenges in the Management of a Rare Giant Biliary Mucinous Cystadenoma With Major Vascular Compression

    Mahmoud Elnahas, Sieglinde Hochrein, Jochen Thies, Mina Khalil, Patrik Topf, Philip Lang
    487-492
    DOI: https://doi.org/10.14740/jmc5187
  • DOI: https://doi.org/10.14740/jmc5177
  • DOI: https://doi.org/10.14740/jmc5214
  • Atypical Presentation of Gangrenous Cholecystitis in a Patient With Diabetes Mellitus

    Maryam Ahmad, Alexandra Nguyen, Aldin Malkoc, Amanda Daoud, Amira Barmanwalla, Brandon Woodward
    504-509
    DOI: https://doi.org/10.14740/jmc4291
  • DOI: https://doi.org/10.14740/jmc5164
  • DOI: https://doi.org/10.14740/jmc5216