Atypical Presentation of Gangrenous Cholecystitis in a Patient With Diabetes Mellitus
DOI:
https://doi.org/10.14740/jmc4291Keywords:
Gangrenous cholecystitis, Diabetes mellitusAbstract
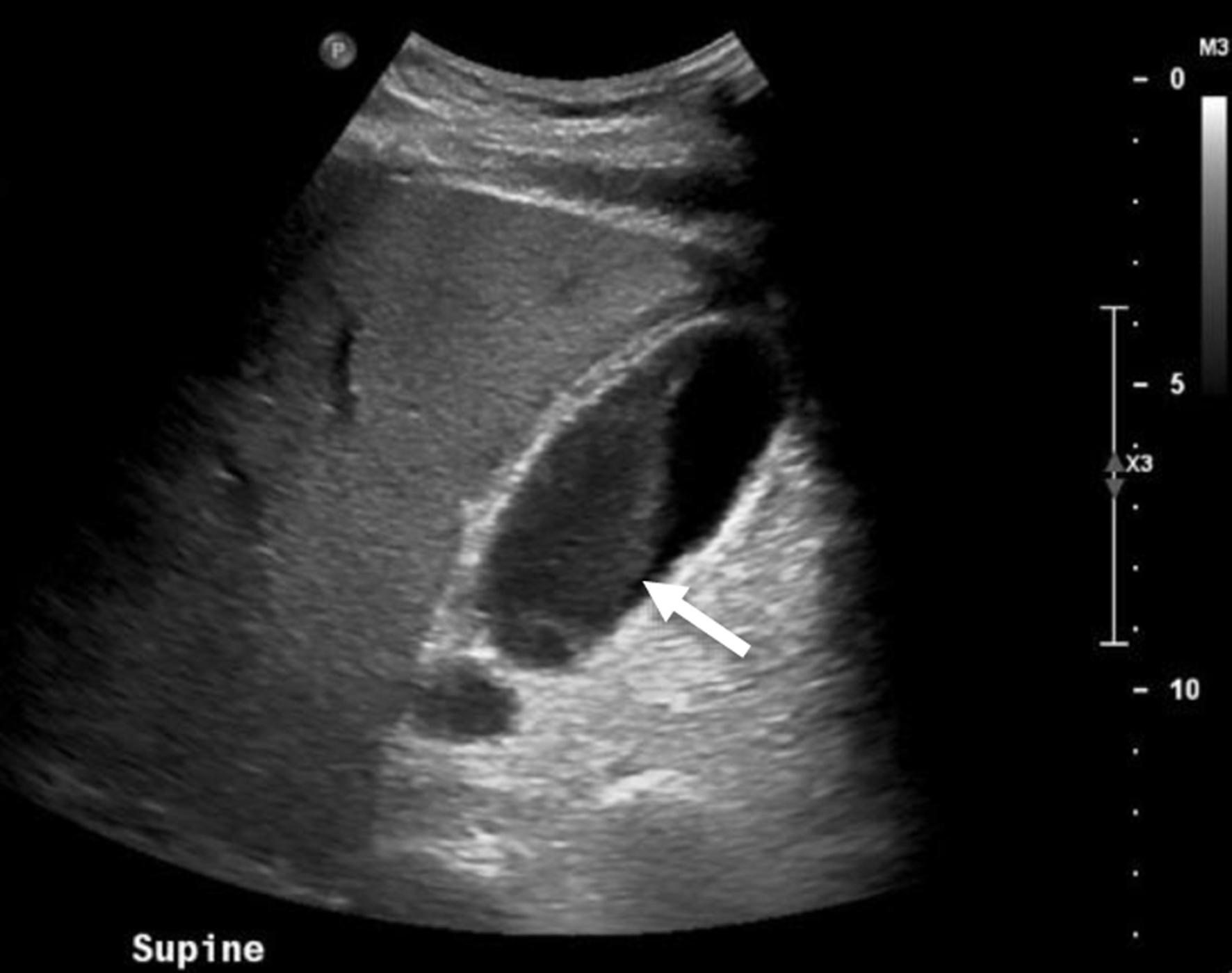
Gangrenous cholecystitis (GC) represents a severe complication of acute cholecystitis, characterized by full-thickness necrosis of the gallbladder wall. This condition arises from persistent cystic duct obstruction, causing local ischemia and inflammation. Its incidence ranges from 2% to 29.6% of acute cholecystitis cases and is associated with risk factors including male gender, age over 50, history of cardiovascular disease, diabetes mellitus (DM), and leukocytosis greater than 17,000 white blood cells/mL. GC carries significant morbidity and mortality, with increased operative complications compared to non-gangrenous acute cholecystitis. Early diagnosis and intervention are crucial to the prevention of disease progression and complications. Diagnosing GC preoperatively is challenging, particularly in diabetic patients who may lack typical symptoms such as right upper quadrant pain due to diabetic autonomic neuropathy. These patients often present with non-specific findings, increasing the difficulty of early diagnosis. This report presents a 56-year-old man with uncontrolled DM initially diagnosed with diabetic ketoacidosis (DKA), later found to have GC despite non-elevated liver function tests, absence of leukocytosis, and no reported history of postprandial or right upper quadrant pain. Despite imaging findings suggestive of acute cholecystitis, the absence of right upper quadrant pain and leukocytosis lowered clinical suspicion, leading to delayed diagnosis and intervention. Ultimately, intraoperative findings confirmed GC, and the patient underwent a successful laparoscopic cholecystectomy. This case highlights the complexities of diagnosing GC in diabetic patients and suggests that underlying microvascular disease and autonomic neuropathy contribute to atypical presentations. Clinicians should consider GC in diabetic patients with non-specific abdominal symptoms and maintain a low threshold for surgical intervention. Further studies are needed to elucidate the pathophysiology and clinical presentation of GC in diabetic patients and to optimize diagnostic and management strategies.
Published
Issue
Section
License
Copyright (c) 2025 The authors

This work is licensed under a Creative Commons Attribution-NonCommercial 4.0 International License.








